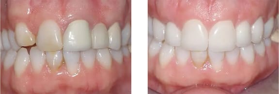
Extreme Smile Makeover 1
Wendy came to us complaining she looked like a hillbilly. Dr. Polin perfected her smile with all-porcelain crowns on all of her top teeth.

Extreme Smile Makeover 2
The decision to undergo a smile makeover took Sandra over a year, but when her makeover was finished she could not have been happier. For Sandra, an all-porcelain crown smile makeover transformed a lifelong problem. Her smile had unsightly gaps and severely worn and broken teeth. We perfected her bite and closed the gaps. Look at her smile now, she is so happy!

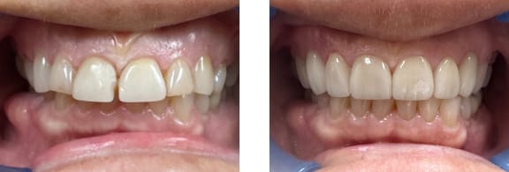
Extreme Smile Makeover 3
Scott had talked about a smile makeover for some time. After many happy years of service, his original veneers had cracked and discolored. It took Scott a good while to finally decide to have his smile redone. Porcelain crowns with implants on his upper and lower teeth completely revitalized his confident beautiful smile.

Extreme Smile Makeover 4
Brad did not like the color or crowding of his upper teeth. The solution was a smile makeover with porcelain veneers on his 8 upper front teeth. Brad’s wife loved his new look as much as he did.

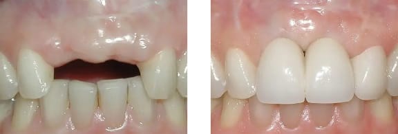
Extreme Smile Makeover 5:
Dental Implant & Cap
This patient had an upper front tooth that was malformed and much too small for the space that was present. The treatment consisted of the removal of this small "baby-like" tooth and its replacement with a dental implant and a cap. Orthodontics was used also to help create the right amount of space for the cap to fit over the implant.

Extreme Smile Makeover 6:
Two Dental Implants
This patient was missing her two upper front teeth. Two implants were used to replace the two front teeth as seen here.

Extreme Smile Makeover 7:
Four Dental Veneers
This new patient came to us wanting to improve his smile, as his front teeth were chipped and misshaped. We fabricated four veneers and applied them to his front top teeth to transform his smile and now his beautiful new smile is visible.

Extreme Smile Makeover 8:
Invisalign
This patient was treated with Invisalign to improve his bite and to keep his gums healthy. A beautiful, straight smile is an added bonus! This case took under 12 months.

Extreme Smile Makeover 9:
Veneers
This beautiful, straight, white smile was achieved with veneers. The patient is now excited to smile again!

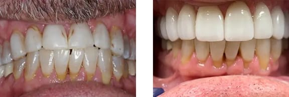
Extreme Smile Makeover 10:
Veneers
This patient had a big birthday coming up and all he wanted was straight white teeth. We did 8 veneers on top and 10 crowns on the bottom to transform his smile.

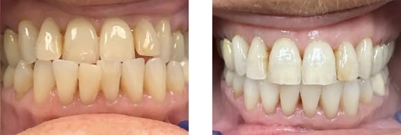
Extreme Smile Makeover 11
This patient has been unhappy with his smile for years, mostly because of the misaligned yellow tooth in the front. To improve and broaden his smile, we prepared 12 crowns on top to achieve a beautiful, straight smile. It has made such a difference in his life.

Cosmetic bonding of the upper 4 front teeth
The patient had cosmetic bonding for the upper four front teeth, transforming their smile from dull and uneven to stunningly flawless within a single dental visit.

Invisalign on the lower and 10 veneers on top
The patient had misaligned lower teeth and imperfections on the upper ones. After opting for Invisalign for the lower teeth and ten veneers for the upper teeth, he achieved a flawlessly aligned smile.

Smile Transformation with Crowns
This patient faced dissatisfaction with her smile, marked by noticeable cracks and a dark hue on the front six teeth. A remarkable transformation took place as the patient opted for crowns. The once-visible cracks and dark color have been replaced with a radiant, flawless smile.

Smile Transformation with Invisalign
This patient wanted to correct her underbite with invisalign. In under a year, she achieved a straight, white smile. She did whitening right in her invisalign trays! She now has a more comfortable bite and a beautiful smile.

Smile Transformation With Veneers
This patient had 2 veneers in the front that were chipped. We explained that we could improve her smile by doing 8 veneers. Patient is thrilled with her new smile.

Smile Transofrmation With Upper Crowns
This patient got 7 upper crowns for her 80th birthday and she can now smile with confidence!

Extreme Smile Makeover 18
We transformed from 6 upper old veneers that were sticking out to 6 upper crowns for a straighter, broader smile.

Extreme Smile Makeover 19
This person was treated with implants and crowns.

